|
|
发表于 2022-4-11 12:49:10
|
查看: 220 |
回复: 0
拯救发际线:让乳酸促进头发生长是怎么回事,是真的吗?2017年08月25日是本文发布时间是这个时间。下面一起来看看到底怎么回事吧。
拯救发际线:让乳酸促进头发生长
研究人员发现,乳酸可以激活毛囊干细胞。

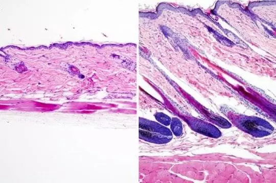
左侧为未处理的小鼠皮肤,无毛发生长,右侧为经过UK5099药物处理的小鼠皮肤,出现毛发生长。图片来源:UCLA Broad Stem Cell Center/Nature Cell Biology
加利福尼亚大学洛杉矶分校的研究人员发现了一种能够激活毛囊干细胞、促进头发生长的新方法。Heather Christofk和William Lowry主导的此项研究可能指导新的药物研发,来治疗那些患有脱发及秃头症的患者,提升他们头发的生长状况。此前的研究表明,脱发可能与激素失衡、压力、衰老及化疗这些因素有关。相关研究成果发表在《自然-细胞生物》(Nature Cell Biology)上。
毛囊干细胞是在毛囊中长期生活的细胞,主要分布在皮肤上,终身为我们产生毛发。它们通常处于静息状态,但是会在新的一轮毛发生长周期中快速激活,此时新的毛发就开始生长。很多因素调控毛囊干细胞的静息状态,在某些情况下它们无法激活,这也就导致了头发的减少。
此研究的主要负责人Christofk和Lowry 在加利福尼亚大学洛杉矶分校的Eli 与Edythe Broad再生医学与干细胞研究中心工作。研究发现,毛囊干细胞的细胞代谢与其他皮肤细胞并不相同。在代谢过程中,酶会将营养物质变成代谢产物。毛囊干细胞从血液中吸收葡萄糖,经过代谢,葡萄糖变为丙酮酸。这些丙酮酸一部分被细胞运输进线粒体,在线粒体中,丙酮酸进一步的代谢能够为细胞提供能量,另一部分丙酮酸将在细胞内进行后续的变化,产生新的代谢产物——乳酸。
“通过对毛囊干细胞代谢的观察,我们想到应当去检测遗传因素是否能够抑制丙酮酸进入线粒体,从而让细胞产生更多的乳酸,这在某种程度上能激活细胞使毛发生长得更快速。” 生物化学、分子和医学药理学副教授Christofk说。
研究团队首先抑制小鼠产生乳酸的基因表达,随后发现这阻止了小鼠的毛囊干细胞激活。然而,与犹他大学Rutter实验室合作的另一项研究发现,研究人员可以通过遗传手段提高小鼠乳酸的产生量,随后促进了毛囊干细胞的激活,延长毛发的生长周期。
“在此之前,我们并不知道增加或减少乳酸的量会对毛囊干细胞产生什么影响,” 分子、细胞和发育生物学教授Lowry说。“一旦我们发现改变乳酸产生能够影响小鼠毛发的生长,我们就能开辟新的药物研发思路,使其应用于皮肤达到相同的效果。”
研究团队实验了两种药物,当应用于小鼠皮肤时,它们能够以不同的方式促进乳酸产生从而影响毛囊干细胞。第一种药物叫作RCGD423,它能激活JAK-Stat细胞信号通路,此通路能够将细胞外的信号传递给细胞核。研究显示,JAK-Stat通路的激活能够促进乳酸的产生,这也就促进了毛囊干细胞的激活和头发的生长。第二种药物叫作UK5099,这种药物抑制了丙酮酸运输进线粒体的过程,因此导致小鼠毛囊干细胞产生乳酸,促进毛发生长。
“通过这项研究,我们对激活干细胞的方法产生了有趣的新见解,” Lowry实验室的博士生、也是此研究的第一作者Aimee Flores说道。“通过刺激毛囊干细胞来促进毛发生长的研究是很有前景的,能够为数百万受脱发问题困扰的男性和女性提供解决办法。我认为我们现在仅仅刚开始了解代谢在毛发生长和干细胞中的重要作用,我很希望这些新发现能够在脱发及其他方面有潜在的应用价值。”
但是上述试验药物仅仅用于临床前期的研究,并未在人体进行实验,目前也没有通过食品药品管理局批准成为对人类安全有效的药物。
翻译 撖静宜
编辑 王妍琳
原文链接:
https://www.sciencedaily.com/releases/2017/08/170814134816.htm |
|