找回密码
注册会员
发新帖
97_avatar_middle

39万

积分

0

好友

4万

主题
online_member 发表于 2022-1-29 12:53:40 | 查看: 137| 回复: 0
解读钟南山团队新冠病毒论文是怎么回事,是真的吗?2020年02月11日是本文发布时间是这个时间。下面一起来看看到底怎么回事吧。
                                解读钟南山团队新冠病毒论文
                               
                                新型冠状病毒感染的平均潜伏期为3天,个别案例的最长潜伏期可能达到24天。尽管87.9%的患者在住院期间伴随发热症状,但在就诊时出现发热症状的患者仅占43.9%。
                               
                               

解读钟南山团队新冠病毒论文453 / 作者:UFO爱好者 / 帖子ID:82786
冠状病毒示意图

2月9日,一篇迄今为止最大规模的新型冠状病毒临床研究论文出现在医学预印本网站medRxiv。这篇论文的作者涉及30个国内一医院及研究机构,通讯作者为钟南山院士。论文分析了分布在全国31个省市自治区、552家医院的1099个确诊病例的临床特征、潜伏期、诊断情况、治疗方式等要素。需要指出的是,这篇论文尚未经过同行评议正式发表,但这项大规模回顾性研究为我们第一时间理解2019-nCoV的诸多特征提供了重要依据。以下为论文的重要信息:
新型冠状病毒感染的平均潜伏期为3天,个别案例的最长潜伏期可能达到24天。
尽管87.9%的患者在住院期间伴随发热症状,但在就诊时出现发热症状的患者仅占43.9%
在62份患者的粪便样本中,有4人的核酸检测为阳性,再次提示粪口传播的可能性。
进行肺部CT检测时,76.4%的患者显现出异常。对于被遗漏的患者,可通过临床症状结合核酸试剂盒进行诊断。

编译 | 吴非

这项回顾性研究标题为Clinical characteristics of 2019 novel coronavirus infection in China,涉及的1099名患者均为咽拭子、鼻咽拭子采集经确认为核酸阳性的患者。这些患者的平均年龄为47岁,其中约42%为女性,58%为男性。根据临床症状的严重程度,1099名患者被分为重症组(173人)和非重症组(926人),其中重症组的平均年龄高出7岁。

解读钟南山团队新冠病毒论文848 / 作者:UFO爱好者 / 帖子ID:82786
该研究中患者省份分布图

在这些患者中,只有1.18%直接接触过野生动物,31.3%曾前往武汉,71.8%与武汉人有过接触史。这些数据再次印证了新型冠状病毒人传人的传播途径。此外,这批患者中有2.09%为医护人员。


潜伏期与诊断

根据这项研究,新型冠状病毒感染者潜伏期的中位数为3.0天,而不久前一项发表于《新英格兰医学杂志》的研究对425名患者进行分析后指出,2019-nCoV的潜伏期中位数为5.2天。这项更大规模的最新研究,让我们对2019-nCoV的潜伏特征有了进一步认识。尤其值得关注的,是最新研究中的潜伏期范围:患者最快在受感染当天就出现症状,最晚则要经过24天的潜伏期。尽管这样的超长潜伏期只是个例,但仍然提醒我们重视新冠病毒的潜伏能力。

论文作者提出一个值得警惕的现象:虽然高达87.9%的患者在住院治疗期间都出现了发热症状,但若将发热作为诊断或监管的标准,则将遗漏大量病患:在就诊时就发热的患者仅有43.9%。而此前的SARS及MERS患者就诊时,几乎都伴随发热症状。因此,症状的隐蔽性也给新冠病毒的早期发现提出了难题。

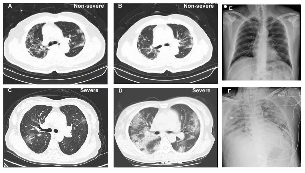
目前,核酸试剂盒检测仍为新冠病毒感染诊断的标准手段,而肺部CT检测也被列入湖北省的临床诊断标准。对于检测手段的争议,这篇论文也给出了相应的数据。论文指出,入院时,76.4%患者的肺部CT出现异常,其中最普遍的分别为肺部磨玻璃样阴影(50.0%)和肺部双侧斑样阴影(46.0%)。而23.9%的非重症患者和5.2%的重症患者在CT图像中未显现出异常,对于这部分患者,可以通过临床症状结合核酸试剂盒进行诊断。

解读钟南山团队新冠病毒论文540 / 作者:UFO爱好者 / 帖子ID:82786
非重症组与重症组的CT图像对比


临床症状

临床上,发热和咳嗽是最普遍的症状,分别有87.9%和67.7%的患者出现这两种症状。而消化系统的症状,如腹泻(3.7%)和呕吐(5.0%)则较为罕见。因此作者指出,新冠病毒与SARS的临床症状存在相似之处:发热和咳嗽是主要症状,但不同于SARS、MERS与流感,新冠病毒感染的患者较少出现消化系统症状。此前的报道也指出,尽管新冠病毒与SARS均通过ACE2受体进入细胞,但两者的感染方式存在差异:新冠病毒仅导致上呼吸道感染。而SARS病毒却主要感染人体的下呼吸道。研究人员猜测,这是因为有其他的受体或辅助受体参与病毒的感染过程。

住院期间,79.1%的患者出现肺炎症状,急性呼吸窘迫综合征和休克分别在3.37%和1.00%的患者身上出现。

在细胞层面,分别有82.1%和36.2%的患者出现淋巴细胞减少和血小板减少,而33.7%的患者中观察到白细胞减少。此外,绝大多数患者体内的C-反应蛋白(机体受炎症性刺激时,肝细胞合成的蛋白)显著增加。


治疗手段

在对新冠病毒感染者的治疗中,静脉注射抗生素、氧气治疗、奥司他韦与机械通气是目前使用最为频繁的几种疗法,使用比例分别为57.5%、38.0%、35.8%与6.1%。

另外,18.6%的患者接受了全身性糖皮质类固醇治疗。重症患者中,该比例更是达到44.5%。但也有研究者指出,糖皮质类固醇在此前的MERS等疾病的治疗中,未能有效降低死亡率,因此对该疗法的有效性提出质疑。此外,在1099名患者中,有5例重症患者采用了体外人工肺膜(ECOM)。

在1099名患者中,有55名患者(5%)进入ICU治疗,15人(1.36%)不幸去世。随着更多数据的补充,新冠病毒致死率的数据还将得到更新。据作者介绍,在这项研究的1099名患者之外,研究者正在收集更大规模的临床数据。其中,广东省的死亡率很低,作者认为,早隔离、早诊断、早治疗可能是广东省死亡率较低的重要原因。


传染方式

在飞沫传播与接触传播之外,研究人员也在试图明确,新冠病毒是否存在其他传播方式。此前,报道美国首位新冠病毒感染者治疗过程的论文指出,由于在患者粪便中检测出新冠病毒核酸为阳性,因此新冠病毒存在粪口传播的可能性。而这项最新研究,为粪口传播的可能性再次提供了佐证。在检测的62份样本中,有4人的粪便中2019-nCoV核酸检测为阳性。另外,有4名患者的直肠拭子核酸检测呈阳性。此外,在一例出现消化系统溃疡的患者的食道糜烂处,检测出病毒。


综合这些因素,论文作者认为,此次新冠病毒肺炎的致死率低于SARS与MERS,但传播更加迅速,尤其是感染初期症状可能不明显,这些因素都向疫情的控制提出了挑战。此外,目前不能排除“超级传播者”存在的可能性。作者呼吁,将关注的重点投向疾病早期阶段的诊断与治疗。

原始论文:
Clinical characteristics of 2019 novel coronavirus infection in China
https://www.medrxiv.org/content/10.1101/2020.02.06.20020974v1
00_avatar_middle
您需要登录后才可以回帖 登录 | 注册会员

手机版|UFO中文网

GMT+8, 2026-4-7 23:58

Powered by Discuz! X3.5

© 2001-2026 Discuz! Team.

快速回复 返回顶部 返回列表