找回密码
注册会员
发新帖
97_avatar_middle

39万

积分

0

好友

4万

主题
online_member 发表于 2021-11-13 12:54:49 | 查看: 125| 回复: 0
这个DNA片段,才是决定男性性器官形成的真正“开关”是怎么回事,是真的吗?2020年10月13日是本文发布时间是这个时间。下面一起来看看到底怎么回事吧。
                                这个DNA片段,才是决定男性性器官形成的真正“开关”
                               
                                研究发现,成年小鼠的Y染色体Sry基因是由两个不同的DNA部分组成的,而不是科学家先前认为的只有一个,其还有一个神秘的第二外显子。
                               
                               
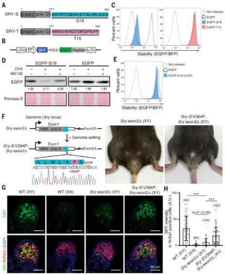
(领研网导读 郭怿暄)本研究找到小鼠性别决定基因Sry的一个隐蔽外显子及对应的二外显子型Sry转录本(Sry-T)。XY小鼠缺乏Sry-T出现性别逆转,XX小鼠异位表达Sry-T可诱导雄性发育。Sry-T mRNA与经典单外显子Sry-S表达相似,但因SRY-T缺乏C端降解子,所以SRY-T是主要表达形式。小鼠的Sry第二外显子可能是获得反转录转座子来源的编码序列后取代了降解子。该发现表明SRY-T才是真正的睾丸决定因子。

众所周知,哺乳动物的性别决定基因Sry诱导雄性发育。自30年前发现以来,Sry一直被认为是一个单一的基因,并被写入生物学教科书,而最近的一项研究将改变世界各地教授基本生物学和进化论的方式。

近日,澳大利亚昆士兰大学的一项国际合作研究发现,成年小鼠的Y染色体Sry基因是由两个不同的DNA部分组成的,而不是科学家先前认为的只有一个,其还有一个神秘的第二外显子。相关成果发表于《Science》上。

这个DNA片段,才是决定男性性器官形成的真正“开关”893 / 作者:UFO爱好者 / 帖子ID:76680
DOI: 10.1126/science.abb6430

功能丧失和功能获得分析表明,双外显子SRY(SRY-T)才是真正的睾丸决定因素。缺少Sry-T的雄性小鼠(XY)发育为雌性,而携带Sry-T转基因的雌性小鼠(XX)发育为雄性。令人惊讶的是,实验的成功率几乎是100%。

这个DNA片段,才是决定男性性器官形成的真正“开关”43 / 作者:UFO爱好者 / 帖子ID:76680
Sry-T缺陷小鼠表现出男女性别逆转

这个DNA片段,才是决定男性性器官形成的真正“开关”856 / 作者:UFO爱好者 / 帖子ID:76680
携带Sry-T转基因的雌性小鼠(XX)发育为雄性

此外,Sry-T信使RNA的表达与标准单外显子型SRY-S类似,但SRY-S的C末端包含蛋白质降解基序或降解决定子,而SRY-T的C末端不存在降解决定子。

这个DNA片段,才是决定男性性器官形成的真正“开关”731 / 作者:UFO爱好者 / 帖子ID:76680
SRY-S带有一个C端降解决定子

这一发现推翻了已经流行30多年的关于小鼠Sry结构的结论,这是研究最深入的性别决定哺乳动物模型。对SRY-T的进一步研究将确定神秘的外显子2除了赋予SRY蛋白质稳定性外是否还赋予其他新功能。并且,与其他哺乳动物相比,将更全面地了解小鼠中决定性别的级联如何被激活。

昆士兰大学分子生物科学研究所名誉教授 Peter Koopman 强调,该发现可能适用于在农业中操纵性别比例或对生物虫害进行管理。但是,出于伦理和实践原因,这一发现不能用于人类胚胎。

参考资料:
[1] The mouse Sry locus harbors a cryptic exon that is essential for male sex determination.
[2] Hidden DNA fragment the 'trigger switch' for male development.
00_avatar_middle
您需要登录后才可以回帖 登录 | 注册会员

手机版|UFO中文网

GMT+8, 2026-4-9 04:41

Powered by Discuz! X3.5

© 2001-2026 Discuz! Team.

快速回复 返回顶部 返回列表