找回密码
注册会员
发新帖
97_avatar_middle

39万

积分

0

好友

4万

主题
online_member 发表于 2021-9-30 12:54:38 | 查看: 152| 回复: 0
2021年4月8日环球科学要闻是怎么回事,是真的吗?2021年04月08日是本文发布时间是这个时间。下面一起来看看到底怎么回事吧。
                                2021年4月8日环球科学要闻
                               
                                日本完成首例新冠肺炎患者活体肺移植手术;百年癌症代谢经典理论被推翻;事情越做越多?因为人类特别爱做加法;超灵敏的埃博拉病毒检测法……
                               
                               
· 医学 ·
日本完成首例新冠肺炎患者活体肺移植手术

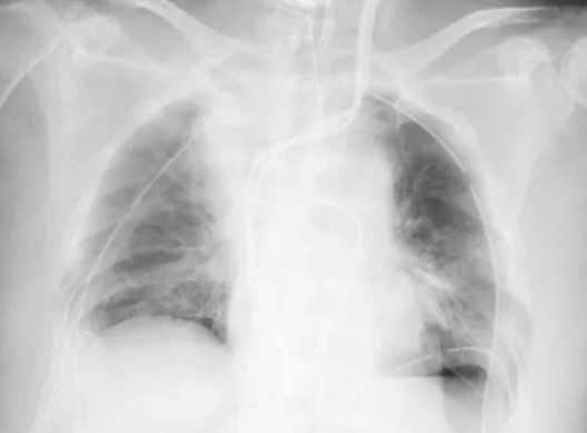
2021年4月8日环球科学要闻57 / 作者:UFO爱好者 / 帖子ID:71105
患者接受手术后的肺部情况。图片来源:京都大学医院

日本京都大学医院当地时间4月8日称,该院为一位已持续治疗约3个月的新冠肺炎患者移植了由家属提供的部分肺器官。这是全球首例针对新冠肺炎患者的活体肺移植。 据京都大学医院介绍,接受肺移植的是一位居住在关西的女性患者。该患者去年年底感染新冠病毒,呼吸状态恶化,于关西的一家医院就医,治愈后核酸检查结果为阴性,但由于后遗症,其双肺都萎缩变硬,没有恢复的希望,需要体外膜肺氧合(ECMO)维持肺机能。手术结束后,患者除肺部以外,其他脏器均无损伤,意识清醒。 因家属提出器官捐献申请,该患者于本月5日转院到京都大学医院。4月7日,医院将其丈夫和儿子捐献的一部分肺器官移植给该患者。患者目前在重症监护室,预计2个月后可出院,3个月后能回归正常社会生活,其丈夫和儿子目前情况良好。(央视新闻)


· 细胞生物学 ·
百年癌症代谢经典理论被推翻

癌症代谢领域最经典的发现是1922年德国生理学家Otto Warburg所取得的,在他的实验观察中,癌细胞有着极高的葡萄糖代谢率,这也成了后来癌症代谢模型的基础。但《自然》上的一项研究颠覆了这一结论,作者发现肿瘤中葡萄糖的主要消耗者并不是长期以来认为的癌细胞,而是免疫细胞。研究者选取了结直肠癌、肾癌等6类肿瘤模型,并利用放射性示踪剂跟踪了葡萄糖和谷氨酰胺在肿瘤内不同细胞中的摄取情况。结果发现,肿瘤中的骨髓免疫细胞(主要为巨噬细胞,其次为T细胞)摄取了最多的葡萄糖,而癌细胞摄取了最多的谷氨酰胺。作者指出,过去认为,癌细胞吸收了大量的葡萄糖,导致免疫细胞缺少能量无法发挥作用。而现在看来,肿瘤中的各种细胞明显有自己偏好的营养素。而针对癌细胞喜好的营养素,而非葡萄糖来开发成像系统或者靶点药物,可以更精准地进行肿瘤成像和杀灭癌细胞。


· 心理学 ·
事情越做越多?因为人类特别爱做加法

2021年4月8日环球科学要闻151 / 作者:UFO爱好者 / 帖子ID:71105
乐高模型测试:当房顶只有一个支柱的时候,要怎样防止它塌下来砸到人呢?一种办法是增加开销,添加一个支柱;但更好的解决办法是,不增加额外开销,去掉支柱,让屋顶直接搭在平台上。

在开发一种技术或是加强某种想法时,通常有两种方式:增和删。据一项发表于《自然》的研究,当人们被要求改进物体、想法和现状时,他们更倾向于做加法而不是做减法。研究人员对1153人开展了一系列实验,观察他们对各种不同问题的处理方式,包括做几何智力题,固定乐高积木等。研究发现,大多数实验中,参与者都会更倾向于做加法,采取“减法”策略的人往往只占10%~30%,即使做减法能提供更简单也更好的解决方案。后续实验显示,人们在认知上不太习惯做减法而会将做加法当作默认的解决策略。研究认为,这可能解释了人类为何会受困于一些问题,包括超负荷的时间安排,制造复杂的制度以及对地球的破坏性影响。


· 医学 ·
超灵敏的埃博拉病毒检测法

埃博拉病是一种高致死性传染病,而早期检测可显著降低患者死亡率,有效阻断病毒的传播。近日,一篇发表于《科学·转化医学》的论文介绍了一种高敏感度、能快速检测埃博拉病毒的新方法——“D4”超灵敏免疫荧光检测法。“D4”检测法中主要包含一种携带荧光标记的检测抗体和捕获抗体,其检测对象为分泌性糖蛋白,这是在感染早期出现在患者体内的一种病毒标志物。相比于此前的检测方法,这一方法将敏感度提升了1000倍,大幅减少了交叉感染风险,便于大范围筛查。后续,他们将继续改进检测方法,以将检测时间从60分钟缩短至30分钟,且仅需取一滴外周血就能进行检测。


· 神经科学 ·
多巴胺释放主要受神经元自身调控

长期以来,科学界都认为神经元通过感知周围细胞释放的信号分子,决定自身释放多巴胺的速度。但近日发表于《细胞·报告》上的一项研究表明,多巴胺的释放速度主要受神经元自身调控。研究人员收集了多只小鼠的神经元,并向其中部分神经元注射肉毒素,抑制其释放信号分子的能力;其周围的神经元则未经处理,仍能传递信号分子。实验结果表明,经过处理的神经元,其多巴胺释放量下降了75%,说明神经元主要依靠自身信号来决定多巴胺的释放速度。此前研究表明,帕金森病患者脑内的多巴胺神经元会大量死亡。这一研究或有助于揭示多巴胺神经元死亡原因,更好地理解帕金森等神经退行性疾病。


· 行星科学 ·
行星的“化学指纹”揭示其形成位置和早期演化

2021年4月8日环球科学要闻704 / 作者:UFO爱好者 / 帖子ID:71105
图片链接:University of Warwick/Mark Garlick

HD 209458b是首个以凌星观测的方式发现的太阳系外行星。一项发表在《自然》上的研究中,研究人员分析了HD 209458b凌星时大气层的高分辨率光谱并确定了其组成,包括氰化氢、甲烷、氨、乙炔、一氧化碳和少量水蒸气。大气中丰富的碳原子表明该行星在形成过程中优先吸收了富含碳的气体,意味着该行星是在离其宿主恒星更远处形成的,在形成之后才移动到当前位置。随着更强大的望远镜出现,这种行星形成模型将有望用于检测潜在的宜居行星。


· 植物学 ·
首次观测植物生长素动态变化过程

生长素是植物生长发育的重要激素之一。近期,根据一项发表在《自然》杂志上的研究,科学家们开发出了一种新型的生物传感器(AuxSen),首次实现了实时检测生长素在活植物细胞中的空间分布。这种传感器是一种人工蛋白质,可由经基因改造的植物自身产生。在特殊物质的刺激下,植物的细胞组织中会产生大量的传感器。之后,传感器将与生长素结合,并在特定波长的光激发时发出荧光,这种荧光信号可以动态显示生长素的位置和变化。该传感器为研究人员打开了植物内部工作的全新视角,并提供了一种环境条件变化对植物生长影响的快速检测方式。


· 新冠疫情 ·

截至北京时间4月8日10时,据约翰·霍普金斯大学最新统计,全球累计新冠确诊病例132 952 381例,死亡病例2 886 242例。
4月7日0—24时,31个省(自治区、直辖市)和新疆生产建设兵团报告新增确诊病例24例,其中境外输入病例13例(上海9例,内蒙古1例,江苏1例,广东1例,陕西1例),本土病例11例(均在云南);无新增死亡病例;无新增疑似病例。

31个省(自治区、直辖市)和新疆生产建设兵团报告新增无症状感染者6例,其中境外输入5例,本土1例(在云南);当日转为确诊病例5例(境外输入2例);当日解除医学观察5例(均为境外输入);尚在医学观察无症状感染者291例(境外输入266例)。

文:周郅璨、马一瑗、张国荣、韩佳桐
编辑:洪艺瑞、石云雷、王昱、杨心舟
00_avatar_middle
您需要登录后才可以回帖 登录 | 注册会员

手机版|UFO中文网

GMT+8, 2026-4-8 20:33

Powered by Discuz! X3.5

© 2001-2026 Discuz! Team.

快速回复 返回顶部 返回列表