找回密码
注册会员
发新帖
43_avatar_middle

3377

积分

0

好友

241

主题
online_member 发表于 2019-9-15 15:39:07 | 查看: 801| 回复: 0
  AI技术开辟了新的途径 人类首次预知寿命!近日,来自澳大利亚的科学家Luke Oakden-Rayner博士在顶级杂志《Nature》上发表的一项研究成果显示,其团队开创性地研发出可以预测人类寿命的仪器。事实证明,这项研究将彻底颠覆现代医疗科学,以前所未有的姿势触碰到生命的尽头,有望使人类数千年来的不懈追求得以圆梦




  未来科技有多发达,人工智能将无所不能651 / 作者:小深 / 帖子ID:53697



  科学




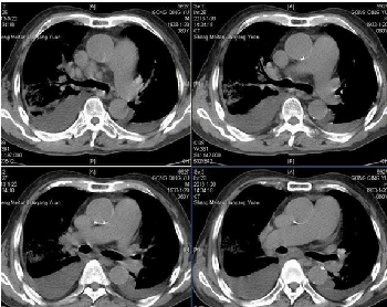
  在现代科学中,胸部CT扫描是衡量人体体征的极好方法,胸部是许多重大疾病迹象的第一现场,简单的扫描就可以揭示人体内脏的各种状态。




  未来科技有多发达,人工智能将无所不能557 / 作者:小深 / 帖子ID:53697



  科学




  来自澳洲的科学家们利用计算机模拟算法,对48名60岁以上成年人的胸部CT进行分析与数据对比(已知生死的旧数据),进而预测出实验对象在五年内甚至更久远的死亡率。事实证明,其精确度高达70%,甚至超过人类的预测结果。




  未来科技有多发达,人工智能将无所不能581 / 作者:小深 / 帖子ID:53697



  科学




  首席研究员Luke Oakden-Rayner博士表示,虽然患者样本较少,但研究结果表明,计算机已经具备准确分辨疑难疾病的成像特点,目前尚有12000名参与者正在进行着类似的研究。




  这种精确科学的实例最直接的应用将是对更多患者扫面图像进行大数据分析,并提供风险预测,从而达到预知寿命的任务。




  未来科技有多发达,人工智能将无所不能869 / 作者:小深 / 帖子ID:53697



  科学




  这项极具创造性的成果为AI技术在科学分析中开辟了新的途径,为严重疾病的早期发现提供了新的希望。一旦研究深入,将翻开人类历史上极富里程碑意义的预测生命的新篇章!


00_avatar_middle
您需要登录后才可以回帖 登录 | 注册会员

手机版|UFO中文网

GMT+8, 2026-5-10 17:49

Powered by Discuz! X3.5

© 2001-2026 Discuz! Team.

快速回复 返回顶部 返回列表