找回密码
注册会员
发新帖
78_avatar_middle

1523

积分

0

好友

167

主题
online_member 发表于 2019-6-27 22:43:32 | 查看: 208| 回复: 0
广州女孩患骨膜增生厚皮症,面部褶皱如古稀老人
         
        大家都知道骨膜增生厚皮症是一种怎样的病症吗?在广州有一19岁的女孩阿明患有骨膜增生厚皮症,自从患上这种病症之后阿明的面部满是褶皱,看起来就像一个古稀老人一般。治疗的医生都说这种病实数罕见。接下来就由小编带大家来瞧瞧吧!

        广州女孩患骨膜增生厚皮症

       
广州女孩患骨膜增生厚皮症,面部褶皱如古稀老人836 / 作者:爱英语的人 / 帖子ID:48441

        19岁的广州女孩阿明据医生称,她患的是一种骨膜增生厚皮症,这种病症在临床医学病例上比较罕见,尤其是以额头和头皮最为严重。19岁的阿明额头和头皮上的皮肉一块块隆起,凹凸不平,虽然有头发覆盖但也看得见一道道很深的沟纹,双手又厚又大,手指粗壮像一根根小木棍。19岁的阿明满脸沧桑,比古稀老人的脸还粗糙,路人看了都会吓一跳。

        之前有记者得知阿敏患上了罕见的骨膜增生厚皮症,便前去采访。据记者称见到阿明时,她看起来比她母亲还显苍老,满脸沧桑,脸部皮肤又黑又粗,额头上又宽又深的皱纹就像刚刚犁过的田地;头皮虽然有头发覆盖但也看得见一道道很深的沟纹,剃掉头发后头皮就像打开颅骨后的大脑沟回;双手又厚又大,手指粗壮像一根根小木棍。

       
广州女孩患骨膜增生厚皮症,面部褶皱如古稀老人635 / 作者:爱英语的人 / 帖子ID:48441

        据阿明陈述说,10岁左右开始皮肤变粗变厚,出现皱褶,并越来越厉害,后来因为害怕见人,她不敢再去上学,但在家里也做不了什么。

        广州女孩患骨膜增生厚皮症得到治疗

        广州市红十字会医院烧伤整形科主任李叶扬介绍说,阿明患的骨膜增生厚皮症比较罕见,属常染色体显性遗传,表现为头面部皮肤肥厚、皱褶及沟纹,头颅回状皮,手足呈铲状增大等等,在发病后5-10年病情可稳定不继续发展。这种病没有什么好的治疗方法,若想改善症状只能通过美容手术。

        考虑到患者的经济条件,李主任先为阿明做了额头去皱手术以改善面容。手术做得非常顺利,阿明今天就可以出院了。阿明说,她希望面容整形后自己能出去找份工作,这样就可以减轻父母的负担了,将来有钱了还可以再做头皮及手部整形手术。

       
广州女孩患骨膜增生厚皮症,面部褶皱如古稀老人628 / 作者:爱英语的人 / 帖子ID:48441


        什么是骨膜增生厚皮症?

        厚皮性骨膜病主要分为原发型和继发型这两种类型,原发型这种多见于男性,临床表现为颜面、前额、头部皮肤肥厚,呈皱褶状,四肢骨骼及指骨关节肥大,手指及足趾呈杵状,四肢疼痛,行动笨拙。继发型这种以中年以后女性多见,皮肤改变不显著,骨病变明显。以对症治疗为主。其中的诊断要点分为以下几点:

        一、原发性

        1. 青春期后发生。

        2. 前额、颊部皮肤明显增厚,出现皱褶,头皮增厚形成回状头皮,手足皮肤增厚,无皱褶,常有多汗;常伴有明显杵状指。

        3. 四肢因骨膜增厚呈圆柱状,踝、膝关节肿胀积液。

        4. 组织病理示长骨为主增生性骨膜炎,弥漫性不规则骨膜增厚。

        5. 可伴智力迟钝。

        6. 发病后5~10年病情可稳定不继续发展。

       
广州女孩患骨膜增生厚皮症,面部褶皱如古稀老人954 / 作者:爱英语的人 / 帖子ID:48441

        二、继发性

        1. 中老年发病。

        2. 骨膜增厚快而明显,常有疼痛,但皮肤病变较轻。

        3. 组织病理同原发性。

        病因:原发性厚皮性骨膜病可能为常染色体显性遗传;继发性厚皮性骨膜病常继发于各种慢性及恶性肿瘤性疾病,又称过度增生性骨关节病。

       
广州女孩患骨膜增生厚皮症,面部褶皱如古稀老人461 / 作者:爱英语的人 / 帖子ID:48441

        科学解释骨膜增生厚皮症

        治疗:厚皮性骨膜病的治疗以对症处理为主,无特殊治疗方法。

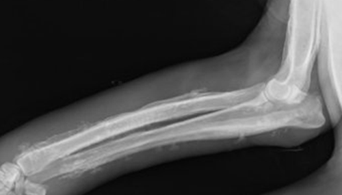
        检查:厚皮性骨膜病的X线检查可见胫骨、腓骨、桡骨、尺骨等部位有增生性骨膜炎、弥漫性骨膜增厚。

       
广州女孩患骨膜增生厚皮症,面部褶皱如古稀老人613 / 作者:爱英语的人 / 帖子ID:48441

        诊断:根据皮肤及骨骼X线检查见增生性骨膜炎、弥漫性骨膜增厚的典型临床改变可作出诊断。

       
广州女孩患骨膜增生厚皮症,面部褶皱如古稀老人755 / 作者:爱英语的人 / 帖子ID:48441

        鉴别诊断:厚皮性骨膜病应与肢端肥大症及甲状腺性肢端肥大症相鉴别。

       
广州女孩患骨膜增生厚皮症,面部褶皱如古稀老人503 / 作者:爱英语的人 / 帖子ID:48441

        结语:看完上述对骨膜增生厚皮症的详细说明,大家应该都大致了解了吧!广州女孩阿明患上的骨膜增生厚皮症给她的生活造成了严重的困扰,不过经过治疗也取得了好的结果,希望阿明能够如愿找到心仪的工作减轻家庭负担!
00_avatar_middle
您需要登录后才可以回帖 登录 | 注册会员

手机版|UFO中文网

GMT+8, 2026-4-30 03:52

Powered by Discuz! X3.5

© 2001-2026 Discuz! Team.

快速回复 返回顶部 返回列表